This is a 65 year-old male who presented to the ER after multiple falls. He describes progressive hand weakness and loss of dexterity along with difficulty walking resulting in multiple falls recently. He has a history of prior anterior cervical spine surgery approximately 13 years prior. The neurological examination shows significant weakness of all extremities, more in hands and proximal legs. Hyperreflexia with abnormal reflexes. Diminished fine motor movement in hands. He gets a CT and MRI in ER.
  • All
  • Pre-Op
  • Intra-op
  • Post-op
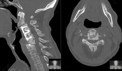
CT c-spine (sagittal left, axial right) obtained in ER showing malalignment and stenosis.
MRI c-spine. Sagittal image (left) shows spinal cord compression at C2/3 from C2 lamina (left orange arrow). Axial image at C2/3 (right) shows flattening of spinal cord (orange arrow).
X-ray of c-spine (left) obtained from 4 year prior to surgery. Note the better alignment of C2 & C3 when compared to the image on the right which is a sagittal image from CT c-spine obtained 2 years prior to surgery. Also compare with Figure 1. Note stability of postoperative changes.
Intraoperative fluoroscopic images obtained pre-op (left) and post-op.
Images obtained during surgery. Patient is positioned face down (prone). Head is at bottom of image. (A) shows exposure of the posterior cervical spine. (B) Shows the initiation of the decompression by removal of the spinous processes with a bone rongeur.
Images obtained during surgery. Patient is positioned face down (prone). Head is at bottom of image. (C) Shows the posterior cervical spine after completion of the laminectomy and with lateral mass screws in place. (D) Shows rod in place on patient’s left side and right-side rod being assembled in the surgeon’s hands.
Postoperative x-rays in lateral (left) and AP (right) planes. Images show the posterior instrumentation in place along with the prior anterior instrumentation.
MRI c-spine obtained in ER about 1 month postop due to patient falling. Sagittal (left) and axial (right) images show good decompression of the spinal cord. The large black spot seen on the axial (right) image (orange star) is artifact from the titanium instrumentation.
CT c-spine obtained about 3 months postop showing stability of the cerival spine. The posterior instrumentation is not imaged in this midsagittal image (left) as it is off the sides. Axial (right) image shows the laminectomy defect (ornage arrow) and the posterior cross link (orange arrow).